術後ブログ

2017.12.12更新

右上1をコンポジットレジン(保険診療)にて修復

コンポジットレジン修復

2017.12.12更新

PMTC+コンビネーションホワイトニング

ホワイトニング

2017.12.12更新

PMTC+コンビネーションホワイトニング

ホワイトニング

2017.12.12更新

マウスピース矯正5ヵ月後

マウスピース矯正 マウスピース矯正 マウスピース矯正

2017.12.12更新

右上1左上1をダイレクトボンディングにて修復

ダイレクトボンディング

2017.12.12更新

右上21左上12をダイレクトボンディングにて修復

ダイレクトボンディング

2017.12.12更新

右上21左上12をラミネートベニアにて修復

ラミネートベニア

 

ラミネートベニア

2017.12.12更新

右上21左上12をラミネートベニアにて修復

ラミネートベニア

 

ラミネートベニア

2017.12.12更新

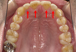
右上21左上12をメタルセラミックブリッジにて修復(赤矢印)
右上4左上4左下4右下74をセラミックインレーにて修復(青矢印)
左上5左下67右下6オールセラミッククラウンにて修復(黄矢印)

上下審美

 

上下審美

2017.12.12更新

右上654をジルコニアフレームセラミックブリッジにて修復(赤矢印)
左上456をセラミックインレーにて修復(青矢印)

ジルコニアブリッジとセラミックインレー

前へ

ご予約・ご相談はお気軽に

歯周病、歯の色や形、歯並びのお悩みも、お気軽にご相談ください。

  • お気軽にお問い合わせ下さい 042-519-3787bottom_tel.png
  • 24時間受け付けております WEB予約はこちら

Instagram 求人