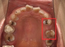
【Before】

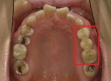
【After】

・性別 女性
・年齢 54歳
・治療内容 フルジルコニアブリッジ
・費用 357,500円
・治療期間 2カ月
・通院回数 3回
・リスク・副作用 歯茎の腫れ、痛み、しみる、被せ物の破折、歯根破折等が起こる可能性があります。
2026.03.19更新
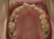
【Before】

【After】

・性別 女性
・年齢 54歳
・治療内容 フルジルコニアブリッジ
・費用 357,500円
・治療期間 2カ月
・通院回数 3回
・リスク・副作用 歯茎の腫れ、痛み、しみる、被せ物の破折、歯根破折等が起こる可能性があります。